つめ物・かぶせ物(審美治療)
このページの目次
快適な咀嚼・長持ちにこだわるろはすデンタルの審美治療

審美治療とは、歯の形や色などの見た目を改善するための治療です。
- 歯の隙間が気になる
- 以前治療した部分の銀歯を白い歯にしたい
- 変色したつめ物をきれいにしたい
- 歯の形を整えたい
- 欠けた前歯の形を修復したい
このような歯のお悩みをお持ちの方は、ぜひ審美治療をご検討ください。ろはすデンタルでは、見た目はもちろん、快適な咀嚼や長期維持にもこだわり、患者さま一人ひとりの口腔内やご要望を考慮した治療法や素材をご提案いたします。
ろはすデンタルではメタルフリー審美治療を心がけています
以前は歯科治療で多用されていた銀歯ですが、見た目の悪さやアレルギーの問題の他にも、経年劣化が著しく虫歯が再発しやすいなどの特徴があります。そのため、ろはすデンタルでは、全身の健康なども考慮し、できるだけ銀歯を使用しない「メタルフリー審美治療」を心がけています。
セラミック素材のつめ物・かぶせ物
セラミックを用いて製作するつめ物(インレー)・かぶせ物(クラウン)です。セラミックは天然歯に近い質感のため、審美性が非常に高いのが特徴です。
また、耐久性も高いため、変形や変色もなく、再発リスクを軽減することができます。セラミックの色調は、患者さま一人ひとりの歯に合わせて細かく調整ができるため、自然な仕上がりとなります。
ダイレクトボンディング
ダイレクトボンディングは、歯を削った部分に歯科用の樹脂を盛り足しながら、歯の形態を修復する方法です。ダイレクトボンディングは型取りなどの工程が必要ないため、その日のうちに治療が終わります。
また、必要最低限の切削で修復ができるため、健康な歯質をより多く残すことができることも特徴です。
ラミネートベニア
ラミネートベニアは、前歯部分の修復に特化した審美治療です。歯の色や隙間が気になる前歯の表面を少量削り、板状のセラミックをつけ爪のように貼り付けて形態を整えます。
素材はセラミックですので、経年による変色などがなく、長期間審美性を保っていただけます。歯を削る量も最小限に抑えることができるため、残存歯にもやさしい修復法です。
4番目・5番目の歯は保険適用の白い歯で治療が可能です

前から4番目・5番目の歯は、保険適用のCAD/CAM冠という白い歯で治療することができます。CAD/CAM冠はセラミックとレジン(歯科用プラスチック)を混ぜたハイブリッドセラミックという素材です。このハイブリッドセラミックのブロックをコンピューターで削り出してかぶせ物(クラウン)を製作します。銀歯やプラスチックで製作されていた従来の保険適用のかぶせ物に比べ、見た目が良く、プラスチックのみの素材よりも耐久性が高いのが特徴です。
条件が合えば6番目・7番目の歯も保険適用になります
保険適用のCAD/CAM冠は、通常4番目、5番目に限定されますが、患者さまの口腔内の状態や体質によっては治療範囲が広がります。
- 7番目の歯が全て残っている状態で、適切な咬み合わせが維持されている場合に、下顎6番目の歯を保険適用のCAD/CAM冠で治療することができます
- 金属アレルギーの方は、症状を証明できる書類を提出していただくことで、6番目・7番目の歯を保険適用のCAD/CAM冠で治療することができます。
快適な咀嚼や長持ちを目指した審美治療の実現のために
ろはすデンタルでは、つめ物・かぶせ物の審美性や機能性の向上、長持ちを心がけ治療を行っております。精度の高いつめ物・かぶせ物を製作するための当院の取り組みをご紹介いたします。
熟練の歯科技工士との連携

患者さまの歯型を基につめ物やかぶせ物を製作するのが、歯科技工士という職人さんです。ろはすデンタルでは、セラミック治療の経験豊富な歯科技工士と密に連携を図ることで、審美性や機能性にこだわったつめ物・かぶせ物の製作に努めております。
徹底した咬み合わせの調整

審美治療では、つめ物・かぶせ物を装着した際の咬み合わせがとても重要となります。快適な咀嚼・つめ物やかぶせ物の長持ちを実現するため、当院では咬み合わせに精通した医師(日本顎咬合学会認定医)が全身の健康まで考慮した咬合調整を実施しております。
口腔内スキャナーによる歯型の採取

患者さまのお口に合ったつめ物・かぶせ物を製作するためには、精巧な歯型が必要不可欠です。当院では口腔内スキャナーを用いて精密な歯型のデータを採取しております。光をあてるだけで歯型を採取することができるため、嘔吐反射が強い方も快適な処置が可能です。
拡大視野下での初期治療

土台の歯がしっかりと治療されていないと、つめ物・かぶせ物で綺麗に修復してもすぐにダメになってしまいます。ろはすデンタルでは、拡大視野の下で精密な初期治療を実施し、土台歯の再発リスク軽減に努めています。
つめ物・かぶせ物治療の流れ
カウンセリング
歯の見た目が気になる方や虫歯治療で歯を削る方へ、つめ物・かぶせ物(審美治療)について詳しくご説明いたします。
診査・診断
検査器具やレントゲンなどで口腔内の状態をお調べします。
治療計画の立案
現在の口腔内の状態をお伝えし、患者さまと相談しながら適切な治療計画を立てます。
治療の実施
虫歯治療・土台の形成など、患者さま一人ひとり必要な処置を行います。その後、歯型を採取してつめ物・かぶせ物を製作します。数日後、完成したつめ物・かぶせ物を土台の歯に装着し、咬み合わせを調整して治療完了です。
メンテナンス
つめ物・かぶせ物が長持ちするよう、定期メンテナンスにて検診や歯のクリーニング、咬み合わせの調整を受けていただきます。
審美治療(つめ物・かぶせ物)の方法を動画でご紹介
▼こちらは、メディカルネットさんが古いかぶせ物のやり直し、前歯の隙間の改善方法について分かりやすくまとめた動画です。審美治療をご検討中の方はぜひ、ご覧ください。
▼セラミッククラウン(古いかぶせ物のやり直し)
▼ラミネートベニア(前歯の隙間改善)
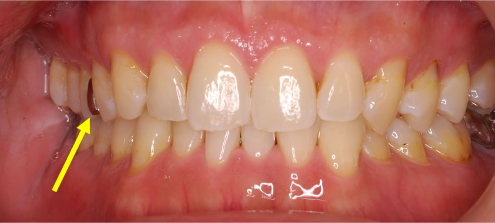
ジルコニアセラミックを用いて銀歯を白い歯にした審美症例
部分的に入った保険の銀歯を外して、ジルコニアセラミックのかぶせ物で見た目を改善した症例をご紹介します。(▼画像はクリックで拡大します)
こちらの患者さまは、過去に治療した右上奥歯の銀歯(黄色い矢印)の見た目が気になるとのことで来院されました。
噛む面と右の側面から見るとこのようになっています。患者さまと相談した結果、こちらの銀歯を取り除き、白い歯(ジルコニアセラミック)を被せて見た目を改善する治療計画を立てました。
| 年齢/性別 | 30代/男性 |
|---|---|
| 治療期間 | 1ヵ月 |
| 治療回数 | 2回 |
| 治療費 | セラミックアンレー143,000円(税込) |
| リスクなど | ・かぶせ物のセラミックが欠けたり、割れる可能性がある。 ・症例によっては歯を多く削る場合がある。 |
セラミックとウォーキングブリーチによる前歯の審美症例
▼セラミックとウォーキングブリーチによって、前歯の見た目を改善した症例をご紹介します。
上顎前歯部の歯肉の色が気になるとのことで来院された患者さまです。右上1番は保険適応のプラスチックのクラウンのため変色し、歯肉の色は、金属の土台が透き通って見えている可能性がありました。左上1番は、神経をとったままになり、歯の色が内側から変色してきています。
| 年齢/性別 | 20代/女性 |
|---|---|
| 治療期間 | 3ヵ月 |
| 治療回数 | 根管治療 7回 ウォーキングブリーチ3回 支台築造 1回 3Dスキャナー印象、セット 各1回ずつ 計13回 |
| 治療費 | 根管治療 保険診療 ウォーキングブリーチ 44,000円/税込(1歯¥22,000×2本) 支台築造 22,000円/税込(1本¥11,000+税×2本) ジルコニアセラミッククラウン 308,000円/税込(1本¥154,000×2本) |
| リスクなど | ・かぶせ物のセラミックが欠けたり、割れる可能性がある。 ・症例によっては歯を多く削る場合がある。 |
審美治療(つめ物・かぶせ物)についてよくある質問
保険と自費のつめ物(かぶせ物)の違いは何ですか?
保険と自費で製作するつめ物(かぶせ物)は使用できる素材が異なります。自費診療は費用が高くなりますが、セラミックや金などの見た目や耐久性にこだわった様々な素材の中から、ご希望に応じた素材でつめ物(かぶせ物)を製作することができます。
すきっ歯の改善は矯正治療とセラミック治療のどちらがおすすめですか?
歯のサイズや本数をはじめ、患者さまのご要望や口腔内の状態よっておすすめの治療法、適応できるかが変わってくるため、一概にどちらが良いとは言えません。セラミックでの治療の場合は健康な歯を削る必要があり、矯正治療の場合は治療期間が長くなるなどのデメリットがあります。診査・診断結果を基に患者さまとしっかり相談しながら、適切な治療計画をご提案いたします。
過去に入れたつめ物(かぶせ物)が外れた場合はどうしたら良いですか?
外れたつめ物(かぶせ物)がある場合は、それをティッシュなどで包んで歯科医院へご来院ください。虫歯や咬み合わせに問題がないかを確認し、場合によっては新しいつめ物(かぶせ物)を製作するなど、必要な処置をいたします。
※外れたつめ物(かぶせ物)は誤飲する危険性があるため、自分で元に戻さないようにしましょう。
セラミックで製作したつめ物(かぶせ物)はどのくらい使用できますか?
セラミックは耐久性が高く、変色や変形の心配がないため、お口を健康な状態で維持していただける場合は半永久的な使用が期待できます。しかし、部分的に大きな力が加わったり、固い物を噛んだりした際に欠けたり、割れたりする可能性があるため、注意が必要です。より長くご使用いただくためには、定期検診や歯のクリーニング、咬合調整が重要となります。
詰め物・かぶせ物の費用
※下記金額は全て税込です。
インレー相当の大きさの小さな詰め物
| 名称 | イメージ | 特性 | 料金(税込) |
|---|---|---|---|
| CR充填 | ![]() |
歯の切削範囲が小さい場合には、歯科用の樹脂を用いて歯の形態を修復します。 | 保険診療 |
詰め物(アンレー)
| 名称 | イメージ | 特性 | 料金(税込) |
|---|---|---|---|
| ジルコニア | ![]() |
割れにくさはセラミックスの4倍と高く、金属を使わないので金属アレルギーの心配がありません。透明感のある健康的な白い歯の輝きで天然歯の美しさを保ちます。 美しさ:★★★★★ 耐久性:★★★★ |
143,000円 |
| Gold(金) | ![]() |
強度が強く、銀歯に比べ金属アレルギーの心配が少ないです。二次的な虫歯になるリスクも少なく、金属の劣化がありません。 美しさ:★★ 耐久性:★★★★ |
121,000円(※) |
(※)金属の詰め物に関しましては価格高騰により上記金額に金属代が加算されます。
かぶせ物(クラウン)
| 名称 | イメージ | 特性 | 料金(税込) |
|---|---|---|---|
| ジルコニア | ![]() |
耐久性や強度にとても優れ、自然歯に近い透明感があります。金属を使わないので金属が解け出して歯ぐきが変色したり、金属アレルギーの心配がありません。 美しさ:★★★★ 耐久性:★★★★ |
143,000~154,000円 |
| メタルボンド | ![]() |
金属のフレームにセラミックを焼き付けているので、強度と耐久性に優れています。透明感は少ないですが白さ・美しさを表現しています。金属を使用しているので歯茎が黒くなることがあります。 美しさ:★★★★ 耐久性:★★★★ |
132,000円(※) |
| Gold(金) | ![]() |
強度が強く、銀歯に比べ金属アレルギーの心配が少ないです。二次的な虫歯になるリスクも少なく、金属の劣化がありません。 美しさ:★★ 耐久性:★★★★ |
121,000円(※) |
| ラミネートベニア | ![]() |
歯の表面を削り、そこにつけ爪のようにセラミック製の薄い人工歯を貼り付け、歯の形を変えます。 美しさ:★★★★★ 耐久性:★★★ |
154,000円 |
(※)金属の被せ物に関しましては価格高騰により上記金額に金属代が加算されます。
特殊土台(コア)
| 名称 | イメージ | 特性 | 料金(税込) |
|---|---|---|---|
| ファイバー | ![]() |
歯に似た弾性を持つため、根の割れも起こりにくく、現時点で最良と評価されています。金属の『土台』に比べファイバーを使用することにより根が折れてしまうのを防止します。審美性の高いかぶせ物に有効です。 美しさ:★★★★★ 耐久性:★★★★★ |
11,000~22,000円 |
新潟市西蒲区巻で精度にこだわった審美治療をご希望の方へ

ろはすデンタルでは、見た目だけでなく、全身の健康や快適な咀嚼が行える咬み合わせ、つめ物・かぶせ物の長期維持にこだわった審美治療のご提供に努めております。新潟市西蒲区巻で精度にこだわった審美治療をご希望の方はぜひ、当院までお気軽にご相談ください。




























