入れ歯・義歯
このページの目次
患者さま一人ひとりに適した入れ歯のご提供に努めております

ろはすデンタルでは、患者さまがしっかり噛め、楽しくお食事ができる入れ歯の製作に取り組んでいます。患者さま一人ひとりのニーズにお応えするため、さまざまな入れ歯の素材を取り揃え、見た目だけでなく全身の健康まで考慮した咬み合わせにもこだわっております。初めての入れ歯治療をご検討中の方、入れ歯を新調したい方など、ぜひ一度ご相談ください。
特徴の違う入れ歯を多数ご用意しております

患者さまの一人ひとりのお悩みやご要望に沿った入れ歯をご提供するため、それぞれ特徴の違う入れ歯をご用意しております。患者さまと相談しながら、適切な治療計画を立てていきます。
バネのないノンクラスプデンチャー

通常、部分入れ歯は残存歯に金属のバネ(クラスプ)を引っ掛けて固定します。しかし、ノンクラスプデンチャー(スマートデンチャー)は、クラスプではなく歯茎の色調に近い樹脂で入れ歯を固定するため、審美性が高く、入れ歯だと気づかれにくい設計となっています。素材も弾力があるため、違和感が少なく、快適にご使用いただけます。
痛みの少ないシリコンデンチャー

シリコンデンチャーは、粘膜と接する部分に弾力のある生体シリコンを貼り付けた入れ歯です。咀嚼時の衝撃が抑えられるため、痛みを感じにくい設計となっています。また、シリコンによって吸着力が高まるため、入れ歯がずれたり、外れたりすることがほとんどなく、しっかりと噛むことができます。
金属床デンチャー

金属床デンチャーは、入れ歯の土台部分に人体に馴染みの良いコバルトクロムやチタンなどの金属を使用した入れ歯です。金属を使用することで、薄くて丈夫な入れ歯を製作することができます。また、金属は熱伝導率が高いため、飲食物の温度を感じながらお食事を楽しんでいただけます。
磁石アタッチメントデンチャー

磁石アタッチメントデンチャーは、歯根に埋めたキーパー(金属)と入れ歯に設置した磁石の引き合う力で入れ歯を固定します。強力な磁石を使用しているため、ずれたり、外れたりすることがほとんどなく、しっかりと噛むことができます。金属のバネなどもないため、入れ歯と気づかれにくいのも特徴です。
インプラントオーバーデンチャー

インプラントオーバーデンチャーは、顎骨に埋入したインプラントを支えとして入れ歯を固定します。外科処置が必要ですが、安定性が非常に高く、ずれたり、外れたりすることがほとんどないため、柔らかい物や固い物まで快適な咀嚼が可能です。脱着は簡単にできますので、お手入れの際に煩わしさを感じることはありません。
レジン素材の入れ歯(保険適用)

素材に歯科用のプラスチック(レジン)を用いた入れ歯です。歯の欠損状態に合わせて部分入れ歯、総入れ歯が製作可能です。部分入れ歯は、クラスプという金属のバネを残存歯に引っ掛けて固定し、総入れ歯は粘膜との吸着で入れ歯を固定します。保険適用のため、素材や工程は限定されますが、比較的安価で製作できるのが特徴です。
入れ歯治療に伴うリスクや注意点について※一例です
- 入れ歯の種類によっては、歯の切削や外科処置が必要になります。
- 入れ歯製作後は、日々のお手入れと定期的なメンテンナンスが必要です。
- 経年による劣化が著しい場合には、入れ歯を新しく製作する必要があります。
- 入れ歯は熱湯をかけたり、長時間乾燥したりすると変形するため、使用時には気をつけましょう。
快適にお使いいただける入れ歯を製作するために
ろはすデンタルの入れ歯治療では、見た目はもちろんですが、ストレスなくお食事やお話ができること、長期間快適にお使いいただけることにこだわっております。患者さまのお口に合った精巧な入れ歯を製作するための取り組みについてご紹介いたします。
経験豊富な歯科技工士

精度の高い入れ歯を製作するためには、細部まで精密な作業が求められます。当院では、入れ歯製作の経験豊富な歯科技工士と密に連携を図り、再現度の高い入れ歯のご提供に努めております。
全身の健康を考慮した咬合調整

入れ歯を長く快適にお使いいただくため、咬み合わせにもしっかりこだわっています。日本顎咬合学会の認定医資格を有した院長が全身の健康を考慮し、Oリングテストを用いた入れ歯の咬合調整を実施いたします。
口腔内スキャナーによる精密な型取り

精度の高い入れ歯を製作するためには、正確な型取りが必要不可欠です。当院では、口腔内スキャナー(3Shape TRIOS)による精密な型取りを実施しております。粘土のような材料を使用しないため、嘔吐反射の強い方も安心です。
個人トレーでの筋圧形成

お口の運動に伴う筋肉の動きや癖などを記録する筋圧形成では、より再現度を高めるため、患者さま一人ひとりのお口に合わせて作製した個人トレーを使用いたします。
入れ歯治療の流れ
カウンセリング(治療相談)
患者さまが抱える入れ歯のお悩み、または不安などをお聞きしながら、入れ歯治療についてくわしくご説明いたします。
診査・診断
診査・診断を行い、口腔内の状態を確認いたします。
結果報告・治療計画の立案
診査・診断の結果を分かりやすくお伝えいたします。その後、患者さまと一緒に相談しながら治療計画を立てていきます。
治療開始
治療計画に同意をいただきましたら、入れ歯治療を開始します。欠損部の歯や歯茎の型を取り、入れ歯を製作します。
※虫歯や歯周病がある場合には、そちらの治療を優先して行います。
メンテナンス(定期検診)
入れ歯製作後は定期的に通院いただき、検診をはじめ、歯のクリーニングや入れ歯の調整を行います。入れ歯を良い状態で使い続けるため、忘れずにメンテンスを受けましょう。
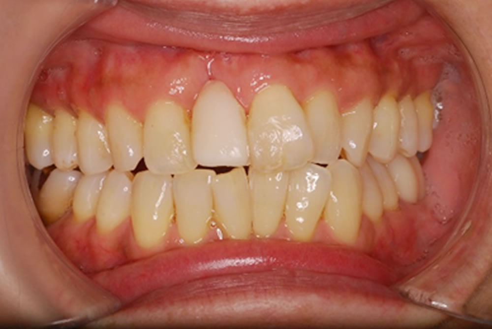
歯周病で歯が抜けた部分をスマートデンチャーで治療した症例
初期治療で当該歯の固定を行うことで歯ブラシを当てることが出来るようになり、歯肉の腫れが改善しましたが、残念ながら、自然に抜けてしまいました。
仮歯の装着
インプラント
外科処置になるため、希望されませんでした。
ブリッジ
前歯が前に出ているので支えになる2本の歯の神経をとらなくてはいけなくなります。また、下の歯の歯並びの関係でかぶせ物が薄くなり、強度的な問題も生じ破損のリスクもあるため、希望されませんでした。
矯正
右下1から左下2まで歯並びが悪く上下とも矯正が必要になるため、本人は希望されませんでした。
義歯
義歯もはじめ針金が気になり希望されませんでしたが、義歯の金属の部分が見えないタイプの義歯をご説明したところ、今回はこちらを選択されました。
ただし左上1の出っ歯感はあるので、制作途中(試適)で確認してもらうことになりました。また、一本義歯だと強度と味覚の問題の対策として見えないところは金属床義歯となりました。
部分入れ歯の試適
歯を並べて歯の出っ張り感を確認したところ、「この位ならこれで気にならない。」と言うことでしたので、この歯並びで作製することになり、今回の試適時に2回目の型を採り、より精密な適合を図りました。
スマートデンチャーの装着・治療完了
完成したスマートデンチャーをお口に装着し、最終的な咬み合わせを調整して治療完了です。
スマイルライン
| 年齢・性別 | 50代 女性 |
|---|---|
| 治療期間 | 約1ヵ月 |
| 治療回数 | 3回(型取り→ 試適→ セット) |
| 治療費(税込) | スマートデンチャー(コバルト床)286,000円 |
| リスク・注意点 | ・稀に金属アレルギーを引き起こす場合があります。 ・入れ歯は日々の使用や経年によって摩耗・劣化していきます。 |
入れ歯を良い状態で維持するための対策
入れ歯を清潔に保つ

天然歯同様に毎日のブラッシングをしっかり行い、入れ歯を清潔な状態で保ちましょう。入れ歯を傷つけないため、研磨剤入りの歯磨きを使わず、優しく磨きましょう。
適切な方法で保管する

入れ歯は乾燥すると変形するため、就寝時など入れ歯を長時間外す場合は、水につけておきましょう。お子様やペットが触って破損しないよう、安全な場所に保管しましょう。
定期メンテナンス

入れ歯は毎日の使用によって、少しずつ摩耗し、少しずつお口と合わなくなります。定期的にメンテナンスを行い、入れ歯とお口の状態を良好に保ちましょう。
よく噛める入れ歯でオーラルフレイルの予防に努めましょう

私たちのお口は「栄養の摂取」と「他者とのコミュニケーション」という2つの大きな働きによって、心身的な健康を維持しています。しかし、昨今ではこれらのお口の機能が低下することで身体全体が衰えてしまうというオーラルフレイルが問題となっています。特に歯を失った患者さまの中で、合わない入れ歯を使用されている場合は注意が必要です。
合わない入れ歯を使用すると・・・
- 痛みがあるなどの理由で適切な咀嚼ができない
- 食べやすいものばかりを好んで食べたり、食事の回数が減ったりする
- 噛む力や飲み込む力が弱くなる
- さらに思うように食事ができない
という悪循環に陥り、サルコペニア(筋力減少)や低栄養によって身体全体の健康状態に悪影響を及ぼします。ご高齢の方は特に衰えが早く、将来的に介護が必要となる可能性も高くなりますので、日々のケアや定期メンテナンスをしっかり行い、快適な入れ歯を維持しましょう。
訪問歯科でのケア・定期メンテナンスも徹底しています

ろはすデンタルでは、入れ歯を快適な状態で長期間お使いいただくため、定期メンテナンスにも力を入れております。また、訪問歯科診療にも対応しておりますので、通院が困難になった場合にもご自宅や施設にお伺いし、入れ歯の調整・ケアを実施いたします。
入れ歯治療に関するQ&A(よくある質問)
入れ歯治療は年齢制限などありますか?
入れ歯治療に年齢制限はありません。年配の方はもちろん、若い方も入れ歯治療が可能です。患者さまの口腔内やご要望を考慮し、適切な入れ歯をご提案いたします。
入れ歯治療は痛くないですか?
一般的な入れ歯治療では、ほとんど痛みを伴うことはありません。製作する入れ歯によっては歯の切削や外科処置が必要となりますが、こちらも麻酔下での処置となりますので痛みを感じることはありません。
保険適用の入れ歯と自費で製作する入れ歯の違いは何ですか?
保険適用の入れ歯は、使用する材料や治療法が限定されています。一方、自費で製作する入れ歯は材料や治療法の選択肢が豊富なため、患者さま一人ひとりの口腔内やご要望に適した入れ歯を設計することが可能です。
虫歯があるのですが、部分入れ歯を作製していただけますか?
口腔内の状態にもよりますが、基本的には虫歯を治療した後に入れ歯治療を行います。特に部分入れ歯のバネをかける歯は、入れ歯装着時に負担がかかるため、入れ歯を作製する前に状態を整えておくことが重要です。
入れ歯治療の費用
※下記金額は全て税込です。
▼総入れ歯
| 名称 | イメージ | 特性 | 料金(税込) |
|---|---|---|---|
| 金属床(コバルトクロム) | ![]() |
義歯床が薄く張り付くようなでフィット感です。自然な舌感で熱も感じるので食事のストレスもありません。丈夫で破折しにくいうえ、変形もほとんどしません。 美しさ:★★★ 耐久性:★★★ |
440,000~990,000円 |
| 金属床(金) | ![]() |
長い間、体に安全とされる金は入れ歯用材料として使用され、信頼性も実績も高い材料です。仕上がりの美しさ、鋳造性に優れ、お口にピッタリフィットし自然に近い装着感です。 美しさ:★★ 耐久性:★★★ |
440,000~990,000円 |
| 金属床(チタン) | ![]() |
軽くて丈夫なので快適に使用できる入れ歯です。体内に埋め込むことができるほど安全で金属アレルギーの最も少ない金属です。熱伝導率に優れ、味覚を損ないません。 美しさ:★★★ 耐久性:★★★★ |
440,000~990,000円 |
▼部分入れ歯
| 名称 | イメージ | 特性 | 料金(税込) |
|---|---|---|---|
| 金属床(コバルトクロム) | ![]() |
義歯床が薄く張り付くようなでフィット感です。自然な舌感で熱も感じるので食事のストレスもありません。丈夫で破折しにくいうえ、変形もほとんどしないため、固定する残存歯を傷つけずにすみます。 美しさ:★★★ 耐久性:★★★ |
330,000~660,000円 |
| 金属床(金) | ![]() |
長い間、体に安全とされる金は入れ歯用材料として使用され、信頼性も実績も高い材料です。仕上がりの美しさ、鋳造性に優れ、バネをかける他の歯のダメージを少なくします。 美しさ:★★ 耐久性:★★★ |
330,000~660,000円 |
| 金属床(チタン) | ![]() |
体内に埋め込むことができるほど安全で金属アレルギーの最も少ない金属です。丈夫で軽いため違和感があまりありません。プラスチック義歯よりも汚れがつきにくいので清潔に保つことができます。 美しさ:★★★ 耐久性:★★★★ |
330,000~660,000円 |
| スマートデンチャー | ![]() |
部分入れ歯の留め金が歯ぐきの色をしているため、ほとんど目立ちません。装着感もよく入れ歯でいることを忘れるほどに噛めます。金属アレルギーの心配がありません。 美しさ:★★★★★ 耐久性:★★★★ |
330,000~660,000円 |
新潟市西蒲区巻で快適な入れ歯の製作をご希望の方へ

ろはすデンタルでは、患者さまがストレスなく快適にご使用できる入れ歯の製作に努め、豊富な素材や一つひとつの工程にこだわっております。また、製作後も長く使用していただけるよう、定期メンテンスやアフターケアも徹底しております。新潟市西蒲区巻で入れ歯治療をご希望の方はぜひ、当院までお気軽にご相談ください。















